As an Amazon Associate I earn from qualifying purchases.

Teeth Grinding

Bruxism (Teeth Grinding) Symptoms, Causes and Treatment

Bruxism is clenching or grinding your teeth. Most people are not even conscious that they are doing this. In the United States, bruxism affects about 30 million to 40 million children and grownups.

Some people grind their teeth just during sleep. This is called “nocturnal bruxism” or “sleep-related bruxism.” Others grind or clench their teeth during the daytime too. This is thought to be related to stress or stress and anxiety. Stress can happen for lots of factors, consisting of unfortunate and painful events such as the death of a loved one or the loss of a job. It can likewise happen from wondrous occasions such as a brand-new job or the birth of a baby.

Advertising Disclosure

Pro Tip: This Portable Water Flosser is up to 50% more effective than traditional floss and can save you hundreds on professional dental cleanings. Its 300ml tank and cordless design make it perfect for maintaining healthy gums. Check the current deal on Amazon.

Sleep teeth grinding is considered a sleep-related motion condition. Individuals who clench or grind their teeth (brux) during sleep are most likely to have other sleep conditions, such as snoring and pauses in breathing (sleep apnea).

Why Do People Grind Their Teeth

Teeth grinding can have a range of causes. Some specialists view bruxism as absolutely nothing more than a practice. It likewise can be a result of the body’s reaction when the teeth do not line up or come together effectively. Bruxism likewise can be a symptom of particular uncommon diseases of the nerves and muscles in the face. In uncommon cases, bruxism may be a side effect of some medicines that treat depression. These include Prozac (fluoxetine), Zoloft (sertraline) and Paxil (paroxetine).

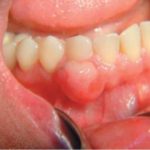
Individuals with severe bruxism can break dental fillings or harm their teeth. Rubbing the teeth together can cause the outer layers of enamel to deteriorate, exposing dentin. This can lead to tooth level of sensitivity. Severe bruxism also has actually been blamed for:

  • Some cases of jaw dysfunction, likewise called temporomandibular disorders (TMD).
  • Headaches when you awaken in the early morning.
  • Unexplained facial pain.

Symptoms of Teeth Grinding

You might be a bruxer if you experience any of the following:

Advertising Disclosure

Dental Care: This Rotating Electric Toothbrush removes up to 400% more plaque than a manual brush. With a built-in pressure sensor and 8 replacement heads included (a 2-year supply), it’s a cost-effective way to maintain a professional clean at home. Available on Amazon.

  • Balanced contractions of the jaw muscles.
  • A grinding sound during the night, which may disturb the sleep of someone who shares a bedroom with you.
  • A dull morning headache.
  • Jaw muscles that are tight or painful– This can make it uncomfortable, even painful, to open your mouth large, especially in the early morning.
  • Long-lasting pain in the face.
  • Damaged teeth, damaged dental fillings and injured gums.
  • Painful jaw joint.
  • Swelling (sometimes) on the side of your lower jaw caused by clenching. Chronic clenching exercises the jaw muscles. Like lifting weights, this makes the muscles grow larger. Once you stop clenching, the muscles will shrink and the swelling will disappear.

Diagnosis

If you experience any of these signs and symptoms, see your dental practitioner. He or she can figure out if you are a bruxer and how best to treat it.

Your dental expert will inquire about your basic dental health, what sources of stress you have in your life, and what medications you take. If you share your bedroom, the dental professional also may want to speak to that person. The dental practitioner will inquire about your sleep habits, especially about any uncommon grinding noises heard during the night.

Your dental professional will analyze you, paying unique focus on the muscles in and around your jaw. The dental expert also will look at your teeth for proof of grinding. During this evaluation, your dental practitioner will check for inflammation in your jaw muscles and the jaw joint. She or he also will try to find broken teeth, missing teeth and bad tooth positioning.

A more comprehensive exam may follow if your dentist presumes that your bruxism is associated with dental problems. In addition to checking your “bite,” (how your upper and lower teeth come together) the dental expert will examine your teeth and gums for damage brought on by bruxism. Your dentist may also take X-rays of your teeth and jaws.

About 30% of children grind or clench their teeth. The rate is highest in children under age 5. If your child grinds or clenches his/her teeth, go over the problem with your household dental practitioner. The majority of children eventually outgrow bruxism and suffer no irreversible damage to their teeth.

Expected Duration

Of all children who grinding their teeth in between the ages of 3 and 10, over half will stop by themselves by age 13.

In teenagers and adults, long teeth grinding lasts depends on its cause. For instance, bruxism can last for many years if it is related to stress that does not go away. However, if bruxism is being triggered by a dental issue, it needs to stop when the teeth are fixed and realigned. Often this happens within a couple of dental visits.

Teeth Grinding Prevention

If your bruxism belongs to stress, professional therapy may help. You likewise can try methods to assist you unwind. It may help to minimize stimulants such as tobacco and caffeine.

In both children and adults, tooth damage associated to bruxism can be avoided. The usual technique is to wear a night bite plate or a bite splint (a dental home appliance used during the night to stop teeth grinding). Wearing a bite splint likewise can help ease pressure on facial muscles and the jaw joint. Hot compresses on facial muscles might assist ease some of the muscle pain and tightness that bruxism can cause.

Treatment for Teeth Grinding

The treatment of bruxism differs depending on its cause:

  • Stress: If your bruxism is stress-related, your dentist or doctor may suggest expert counseling, psychotherapy, biofeedback exercises or other strategies to assist you unwind. Your dentist might prescribe a medication such as diazepam (Valium). This will be for short- term use, typically one week or so. It needs to be taken at night before you go to sleep to help lower grinding at night. You likewise might get a prescription muscle relaxant to briefly reduce the convulsion in your jaw. You may also be suitabled for a tailor-made bite plate. If this does not assist, your dentist might refer you to an oral cosmetic surgeon or to a dentist who has actually advanced training in head and neck pain.
  • Dental problems: If your bruxism is related to tooth issues, your dental expert probably will remedy tooth alignment. In severe cases, your dental professional might need to use onlays or crowns to completely reshape the biting surfaces of your teeth. The dental professional also may make a mouth guard or bite splint that fits your mouth and teeth. This will help prevent additional damage to the teeth. In many cases, it may help your teeth and muscles to realign.
  • Medicines: If you establish bruxism as a side effect of antidepressant medications, you have a few alternatives. Your doctor may switch you to a various drug or give you another medication to counteract your bruxism.

When To Call a Specialist

Call your physician or dental professional if you have symptoms of bruxism, or if you are informed that you grind your teeth while you sleep.

See your dental expert immediately if you break a tooth, lose a filling, or notice that your teeth are ending up being loose.

Prognosis

Even without unique treatment, more than half of children with bruxism stop grinding their teeth by age 13. On the other hand, your dental professional can fit your child with a night bite plate to prevent excessive tooth wear. This device works in practically all children who use it as directed.

In teenagers and adults, the outlook is outstanding if teeth grinding is dealt with effectively and in a timely way.

A.Muradov/ author of the article

As a marketing specialist, he pays great attention to health and healthy lifestyle. He is our freelancer in the field of dentistry.

Like this post? Please share to your friends: